肩関節周囲炎(四十肩・五十肩)
肩関節周囲炎(四十肩・五十肩)とは?
肩関節周囲炎とは、肩の関節をスムーズに動かすための組織(腱板や関節包など)に炎症が起き、**「痛み」と「動きの制限」**が出る状態を指します。
加齢に伴って肩の組織が少しずつ弱くなることに加え、過労や姿勢の悪さなどが重なることで発症すると考えられていますが、実ははっきりとした原因がないことも多いのが特徴です。
どんな状態?(病態について)
肩の中では、関節を袋状に包んでいる**「関節包(かんせつほう)」**が分厚くなったり、周囲とくっついたり(癒着)しています。
- 炎症の発生: 肩の組織に傷や炎症が起き、強い痛みが出ます。
- 組織の硬化: 炎症が長引くと、関節の袋が縮んで硬くなります。
- 可動域の制限: 袋が硬くなることで、腕を上げたり後ろに回したりする動きができなくなります。
セルフチェックではバンザイ動作や結髪動作ができるかどうか、夜間痛があるかどうかが鍵となります。

治癒までの3つのステップ(経過)
肩関節周囲炎は、一般的に以下の3つの時期を経て治癒に向かいます。今自分がどのステージにいるかを知ることが、適切なケアへの第一歩です。
1. 炎症期(Freezing phase)
- 期間: 発症から約2〜9ヶ月
- 状態: 最も痛みが強い時期です。
- 特徴: 何もしなくても疼く(自発痛)、夜寝ている時に痛む(夜間痛)が強く、動かすと鋭い痛みが走ります。
- 過ごし方: 無理に動かさず、安静が第一。必要に応じて消炎鎮痛剤などを使用します。
- この時期に不必要に肩を動かしているとどんどん炎症が強まり、疼痛が強くなるので過剰なセルフケアは注意が必要です。
2. 拘縮期(Frozen phase)
- 期間: 約4〜12ヶ月
- 状態: 痛みは少し落ち着きますが、肩が「固まった」ようになります。
- 特徴: 鋭い痛みは減りますが、着替えや結髪、背中に手を回す動作が困難になります。
- 過ごし方: 痛みのない範囲で少しずつ動かし始め、関節がこれ以上固まらないようにリハビリを行います。
3. 解凍期(Thawing phase)
- 期間: 約6ヶ月〜2年
- 状態: 徐々に関節の動きが良くなっていく時期です。
- 特徴: 痛みもほとんどなくなり、日常生活での不便さが解消されていきます。
- 過ごし方: 積極的なストレッチを行い、以前の柔軟性を取り戻していきます。
【注意ポイント】 「放っておけば治る」と思われがちですが、適切な時期に適切なリハビリを行わないと、痛みは引いても肩が上がらないまま固まってしまう(後遺症)ことがあります。
4.当院での治療に関して
フェイズごとにやるべき対処法が違います。
1.炎症期
炎症期では夜間痛が伴い、筋肉の過緊張による疼痛と炎症による疼痛がメインとなりますのでそこの疼痛コントロールが必要になります。
基本的には過剰に収縮している筋肉に対して鍼治療を行い、体幹等の他の関節を動かすように指導していきます。
2.拘縮期
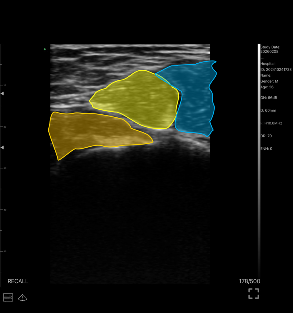
拘縮期では痛みの出ない範囲で少しずつ動かしていきます。エコーで確認しながら癒着の強そうなところに鍼治療を行い、筋肉を収縮させながら徐々に可動域を出していきます

*黄色が上腕三頭筋、オレンジが小円筋、青が大円筋
可動域制限の原因になりやすい部位となります
3.回復期
回復期では筋肉の影響による硬さがほぼ無くなっていると思われるので残りは関節包の硬さのみですからこの場合はストレッチングを長い時間かけて行い、関節可動域の回復に繋げていきます。
勿論癒着の残りを鍼や徒手によって解除しながら進めていきます。
5.最後に
痛みがなくても日常動作で制限がある方への治療やスポーツ選手への治療は得意としておりますので愛西市・津島市・弥富市等のお近くにお住まいの方で肩の関節にお悩みの方はぜひ当院の治療を受けに来てください。

